Bangor Studio/Membership Department
63 Texas Ave.
Bangor, ME 04401

Lewiston Studio
1450 Lisbon St.
Lewiston, ME 04240

Portland Studio
323 Marginal Way
Portland, ME 04101

Registered 501(c)(3) EIN: 22-3171529
© 2026 Maine Public
A fall Maine landscape
Play Live Radio
Next Up:
0:00
0:00
0:00 0:00
Available On Air Stations
Scroll down to see all available streams.

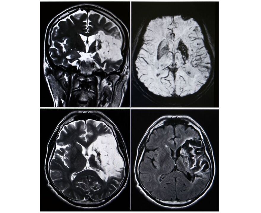
Understanding stroke: causes, symptoms, treatment, recovery and support

 images of brain scans indicating stroke
Luciana Santerre

Many people are unaware of the prevalence of strokes in younger and middle-aged people, which has been increasing in recent years. In fact, according to the World Stroke Foundation, one in four of us will have a stroke in our lifetime. We'll discuss signs and symptoms of strokes, prevention, and some of the advancements in stroke treatment.

Panelists:
Dr. Jane Morris, neurohospitalist and stroke specialist, MaineHealth
Eileen Hawkins, registered nurse; coordinator, Stroke Program, Pen Bay Medical Center
Dr. Robert Ecker, endovascular neurosurgeon, MaineHealth

VIP Caller:
Sarah Beliveau, stroke survivor

Stay Connected